Балтийская конференция
Темы лекций подобраны с учетом существующих современных проблем
хирургической стоматологии, имплантологии и ортопедии.
Алгазин
Иван
Алексеевич
Стоматолог-ортопед с опытом работы с 2007 года, специалист по функциональному и эстетическому протезированию зубов.
Эксперт в комплексном планировании стоматологического лечения, уверенно применяет современные цифровые технологии в своей практике.
Зограбян
Артавазд
Гагикович
Врач стоматолог-хирург, имплантолог, пародонтолог. Искусный клиницист. Специалист в области хирургии десны. Признанный специалист в области имплантологии и пародонтологии. В совершенстве владеет эксклюзивными методиками лечения рецессии десны и восстановления дефицита костной ткани. Первым в РФ прошёл полный курс обучения в Германии у профессора Кури по теме «Восстановление костной ткани в имплантологии».
Максутов
алиби Айнадинович
Врач-стоматолог. Специализация: ортопедия, хирургия, имплантология, гнатология, ортодонтия.
Стаж работы 20 лет.
Окончил обучение на стоматологическом факультете ДВГМУ в 2004 г. Клиническая интернатура по стоматологии на базе ДВГМУ 2004-2005 г.
Специалист по дизайну улыбок, микроскопной стоматологии; по изготовлению высокоэстетичных виниров, лечению дисфункции ВНЧС, имплантации, мягкотканной пластике, зубосохраняющим методикам лечения.
Дзюба
Михаил
владимирович
Хирург-имплантолог, кандидат медицинских наук, спикер компании JDental Care, главный врач и руководитель «Dziuba Implant Studio», опыт работы более 20 лет.
Действующий член ЕАО (Европейской ассоциации остеоинтеграции). Специалист в области реконструктивной дентал-альвеолярной хирургии и цифровой имплантологии.
Автор прогрессивной концепции (ADI concept) в области имплантологии. Имеет 7 печатные работы, 4 авторских патента на изобретение.
Активный участник научных конференций, семинаров и симпозиумов, проходящих как на территории стран СНГ, так и за границей.
першин
александр Евгеньевич
Врач-стоматолог ортопед
Лектор компании Carl Zeiss.
Лектор Российского стоматологического общества, член общества по изучению цвета в стоматологии.
Учредитель медицинского центра «Айстом Клиник».
Идеолог и один из основателей образовательного проекта Стоматология 2.0
Рощин
Евгений Михайлович
к.м.н., стоматолог-ортопед, ортодонт, врач высшей категории, стаж практики более 15 лет.
Автор 17 патентов по функциональной диагностики и методикам планирования лечения.
Сенькова
Мария
Николаевна
Хирург-имплантолог, ортопед, почетный член Открытого стоматологического сообщества, руководитель Центров дентальной имплантации Добрый стоматолог.
Опиньон лидер компаний Shining 3D и JDENTAL Care
Закончила СГМА в 2010 году. Стаж работы 15 лет.
берберов
георгий
михайлович
Челюстно-лицевой хирург, стоматолог-хирург, имплантолог.
Опыт работы: стаж работы более 10 лет
Имеет 5 патентов.
Главный врач Light Dental Group.
Модератор конференции
Стоматолог-хирург, имплантолог, пародонтолог
Образование:
Ереванский государственный медицинский институт (1997 г.).
Клиническая ординатура на кафедре хирургической стоматологии и челюстно-лицевой хирургии ФПДО Московского государственного медико-стоматологического университета (2000 г.).
Курсы повышения квалификации
The Chicago Center For Advanced Dentistry. Advanced Surgical Grafting Procedures - Dr. Darrell G. Selig (2003 г.).
The Chicago Center For Advanced Dentistry. Course on Basic Implantology - Dr. Russel Baer (2003 г.).
Сourse "The Art of Smile - from Diagnosis to Ultimate Treatment" - Dr. Rafi Romano (2005 г.).
Курс "Стратегия работы и принятие решений для достижения эстетического результата имплантологического лечения" (2005 г.).
Мастер-класс П. Машту "Применение современных никель-титановых инструментов ProTaper" (2005 г.).
Мастер-класс А. Кастелуччи "Применение современных никель-титановых инструментов ProTaper" (2005 г.).
The Chicago Center For Advanced Dentistry. "Surgical Periodontics. Cosmetic&Pre-Prosthetic Procedures" - Dr. Nicholas A. Amigoni (2005 г.).
Курс "Регенеративные и пластические хирургические вмешательства в пародонтологии для получения высокого эстетического результата" (2006 г.).
Курс П. Паллачи "Хирургические методики работы с мягкими тканями в области имплантатов" (2006 г.).
Курс "Прогрессивные методики трансплантации твердых и мягких тканей . Трехмерная реконструкция дефектов,туннельная техника, синус-лифт и имплантация в сложных клинических случаях" (2007 г.).
Master-class Dr. J. Neugebauer "Современные методы имплантологического лечения: Установка имплантатов XiVE, синус-лифтинг, забор костного блока, техника дистракционного остеогенеза" (2008 г.).
Oral rehabilitation in periodontally treated patients. Minimal-invasive surgical methods, inplant placement in periodontally compromised patients and perio-prosthodontics - G. Gassman (2009 г.)
2003 г. - Главный врач, Зубная клиника «ЯноДент»; С 2009 г. является генеральным директором, главным врачом и врачом-имплантологом московской клиники «Стоматология на Таганке».
Профессиональный стаж 24 года
25 апреля
26 апреля
10:00 - 11:30
АЛГАЗИН
Иван Алексеевич
Возможности внутриротового сканера в работе стоматолога-ортопеда
Программа доклада охватывает ключевые элементы цифрового протокола стоматолога, включая применение сканера для диагностики и планирования




Кофе - брейк
11:30 - 12:00
12:00 - 13:30
ЗОГРАБЯН
Артавазд Гагикович
Долгосрочный прогноз костной пластики и пластики десны
Костная и мягкотканная пластика прочно заняли свою нишу в практике врача стоматолога-хирурга.
В докладе будут представлены разные варианты исхода костной и мягкотканной пластики, а также подробно продемонстрированы причины или факторы, влияющие на положительные и отрицательные результаты.




Обед
13:30 - 14:30
14:30 - 16:00
МАКСУТОВ
Алиби Айнадинович
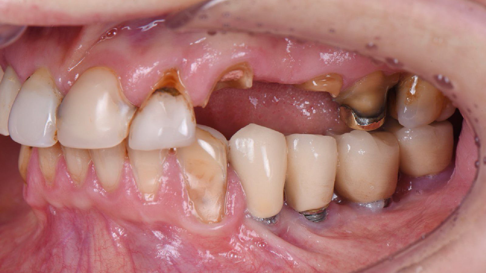
Вертикальное препарирование: протезирование пациента с заболеванием пародонта
В практике ортопеда все чаще встречаются пациенты с различными заболеваниями пародонта и при выборе тактики лечения таких пациентов возникают вопросы: сохранить или удалить, закрывать рецессии или нет?
В рамках своего выступления хотел бы поделиться своим взглядом и опытом стоматологической реабилитации таких пациентов в каждодневной практике.




Кофе - брейк
16:00 - 16:30
16:30-18:00
ДЗЮБА
Михаил Владимирович
Птеригойдная имплантация - всё, что нужно знать! PAGA concept-Прогрессивный цифровой протокол
В докладе будет представлена авторская концепция -анатомически направленная птеригоидная имплантация в цифре (PAGA concept), представленны все особенности птеригоидной зоны, пошаговый протокол , что позволит минимизировать риск ошибок во время процедуры. Вы будете точно знать, как работать по хирургическому протоколу Guided and free hands.




10:00 - 11:30
ПЕРШИН
Александр Евгеньевич
Керамические виниры. Простые этапы препарирования
Сравнение виниров с препарированием и без.
Простые методики работы, минимальное количество инструментов, четкие схемы обработки.
Особенности работы с винирами без препарирования
Классические виниры - особенности выбора
Простая методика препарирования (методика 3-х боров)
Схемы обработки зубов под винирами




Кофе - брейк
11:30 - 12:00
12:00 - 13:30
РОЩИН
Евгений Михайлович
Цифровая функциональная диагностика и планирование. Новые алгоритмы
Разберем 2 основных этапа: Диагностика и этап планирования с использованием цифрового протокола. На сколько возможно упростить этап диагностики для врача, в разных клинических случаях. На каких этапах Ai-анализ может полностью закрыть все вопросы в диагностике.



Обед
13:30 - 14:30
14:30 - 16:00
СЕНЬКОВА
Мария Николаевна
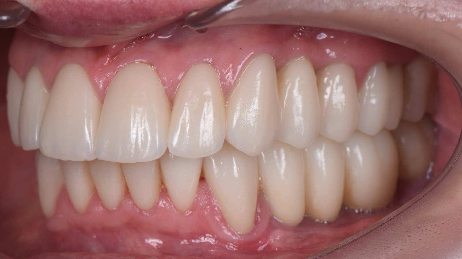
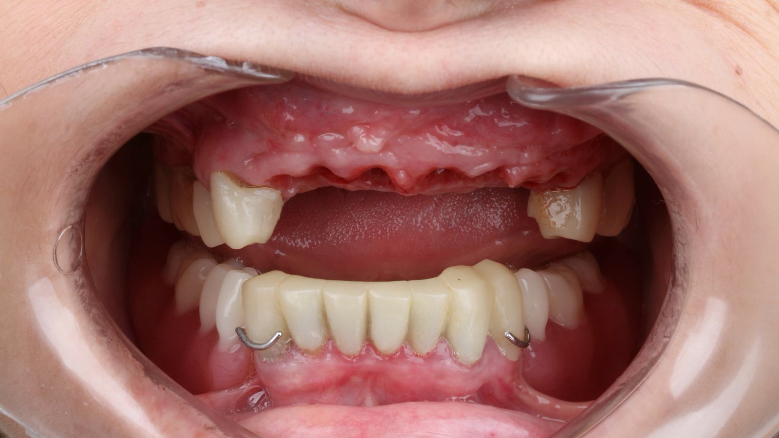
Фотограмметрия при временном Full-Ach протезировании
Методика, позволяющая хирургу без помощи ортопеда провести высокоточное сканирование и изготовление полнодугового протеза с опорой на импланты в день операции без слепков и перебазировок как на верхней, так и на нижней челюсти.




Кофе - брейк
16:00 - 16:30
16:30 - 18:00
БЕРБЕРОВ
Георгий Михайлович
Восстановление экстремальных дефектов челюстей с помощью индивидуальных каркасов ATLAS
Рассмотрим самый современный метод реконструкции Костной ткани с помощью индивидуальных каркасов, которые позволяют проводить реконструкции костной ткани при экстремальных дефектах верхней и нижней челюсти





за 1 слушателя

стоимость за 1 слушателя

при бронировании до 26 марта
Санкт - Петербург
Академия стоматологов Вилана
Метро: Елизаровская
Пишите и звоните нам
academy@vilanadent.ru
+7 981 163-68-05 Максим
+7 981 940-29-88 Варя
+7 911 989-94-32 Наталья
Подписывайтесь на обновления
Введите ваш email, чтобы всегда быть в курсе последних обновлений